44,8782$% -0.07
52,8091€% -0.12
60,8054£% 0.01
6.960,77%-0,07
11.304,00%0,79
45.114,00%0,79
4.829,68%0,85
14.587,93%2,72
3353568฿%-1.23483
102666Ξ%-2.63514
02:00
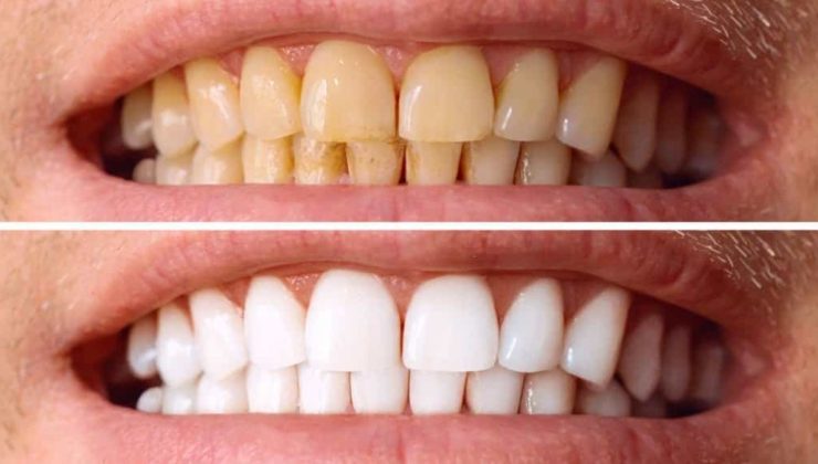
Diş taşı paklığı çoklukla profesyonel bir diş tabibi tarafından yapılan inançlı bir süreçtir ve enfeksiyona neden olmaz.
Bakterilerin plaklar halinde taşlaşması sonucunda oluşan diş taşları hastaları hem işlevsel hem de estetik olarak etkiliyor.
Ancak dikkat edilmesi gereken kimi durumlar vardır.
Bu durumlar ise şu halde:
ENFKESİYON RİSKİ VAR MI
Normal kurallarda diş taşı paklığı enfeksiyona yol açmaz.
Aksine, temizlenmeyen diş taşları vakitle diş eti hastalıklarına (örneğin, gingivit yahut periodontitis) ve enfeksiyonlara neden olabilir.

NADİREN KARŞILAŞILAN DURUMLAR
Diş eti hassasiyeti:
Temizlik sonrası diş etlerinde hafif hassasiyet yahut kanama olabilir. Bu durum çoklukla geçicidir.
Aseptik şartlar:
İşlem sırasında kullanılan aletlerin steril olması enfeksiyon riskini sıfıra yakın meblağ.
İyi bakım:
Diş taşı paklığı sonrası hijyen kurallarına dikkat edilmezse enfeksiyon riski artabilir.
NELERE DİKKAT ETMELİYİZ
İşlem sonrası diş doktorunuzun önerdiği ağız bakımına dikkat edin.
Günde en az iki defa dişlerinizi fırçalayın ve diş ipi kullanın.
Diş taşı temizliğinden sonra kısa periyodik bir hassasiyet yaşanıyorsa tuzlu su ile gargara yapılabilir.
EĞER AĞRI VE ŞİŞLİK VARSA…
Eğer süreç sonrası uzun süren ağrı, şişlik yahut iltihap belirtileri varsa kesinlikle diş doktorunuza başvurun.
Diş doktorunuzun deneyimi ve sterilizasyon konusundaki titizliği enfeksiyon riskini minimuma indirir.
Kanser riskini düşüren teklifler
1
Deprem Bölgesinden Dönen Afet Uzmanı Dr. Rodoplu’dan Değerlendirme ve Öneriler !
433 kez okundu
2
Pamukova’da İlçe Devlet Hastanesinde İlk Ameliyat Başarılı
378 kez okundu
3
Sakarya’da MHRS Yoğunluğu Azaldı: Randevu Bekleyen Hasta Sayısı Yarıya Düştü
298 kez okundu
4
Aile hekimlerinden sevkle gidilen muayenelerde yüzde 50 az katılım payı alınacak
266 kez okundu
5
Türk doktorları akciğer kanseri ilacı ile cilt kanserini durdurdu
238 kez okundu
Veri politikasındaki amaçlarla sınırlı ve mevzuata uygun şekilde çerez konumlandırmaktayız. Detaylar için veri politikamızı inceleyebilirsiniz.